A streak has ended
A streak has ended
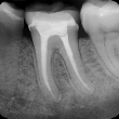
For more than six decades, I had a great streak going.
No fillings.
No crowns.
No root canals.
Not even a single cavity.
Basically, my teeth were the stuff of dental legend. And then... it happened.
Out of nowhere, one of my molars turned on me. Before I knew it, I was sitting in a chair, mouth wide open, being told that my perfect record was about to be absolutely shattered.
Root canal. "No way...are you sure?" I asked, hoping, maybe, he meant a 'spa treatment' for my tooth. Nope. Root canal. (It's not cheap.) And, it was quite painful because the initial shots of novocaine did not deaden the nerve. This resulted in looking and speaking like a buccaneer at a Gala that evening.

Add new comment